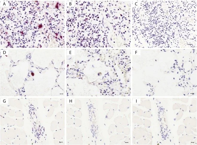
“Differentiating Batrachochytrium dendrobatidis and B. salamandrivorans in Amphibian Chytridiomycosis Using RNAScope® in situ Hybridization.”

— frontiers in Veterinary Science

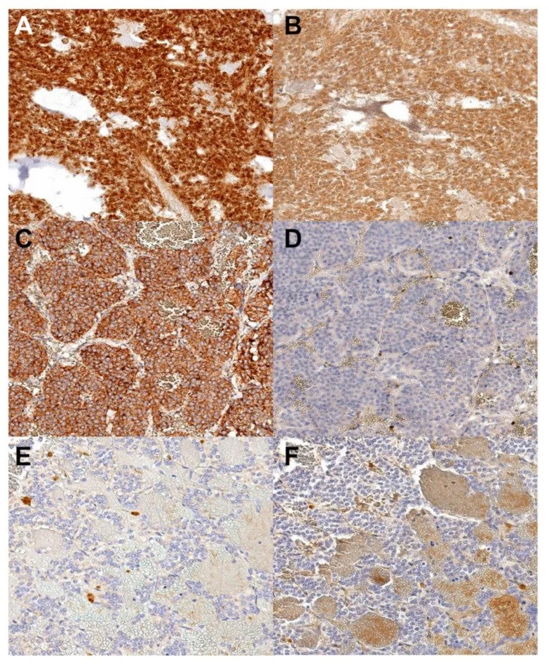
“SDHB and SDHA Immunohistochemistry in Canine Pheochromocytomas.”

— Animals(Basel)

“Genomic characterization of a novel circovirus from a stranded Longman’s beaked whale (Indopacetus pacificus).”

— Virus Research